コメディカル
病院では、医師・看護師の他に、検査や治療、栄養管理などあらゆる場面で各専門分野の医療従事者が携わり、チームとしての医療サービスを提供しています。
検査科
基本理念
- 精度の高い検査の維持に努めます
- 正確かつ迅速な検査結果の提供に努めます
- 事故のない安全な検査の実施に努めます
職員体制
臨床検査技師6名
検査内容
検体検査
患者さまの血液、尿などの体液を、それぞれの目的に応じて検査・分析を行います。
生化学分析装置
自動血球測定機
血液凝固測定機
免疫測定装置
免疫検査(BNP)
血液ガス測定装置
生理機能検査
患者さまに直接接し、心電図、肺機能検査を実施しています。
超音波検査
心電図
肺機能検査
- 患者さまへ
-
- 検査結果が当日出ないものもありますのでその旨ご了承ください。
- 検査結果は主治医からお聞きください。
薬剤部
基本理念
薬を通して、医療の向上及び公共の福祉に貢献する。
基本方針
- 安全で有効かつ高度な医療の実践に貢献します。
- 安全で安心な医療を提供できるよう、日々知識と技術の向上に努めます。
- 医療者間の連携を高め、薬物療法に貢献します。
- 地域薬剤師と連携し、質のよい地域医療環境の実現を目指します。
職員体制
薬剤師5名 薬剤助手1名 クラーク1名
仕事内容・取組み
薬剤部は、外来・入院の患者さんが安全で効果的に薬を使用できるように、院内の薬に関する様々な業務を行っています。
主な業務
- 1.服薬指導
-
外来では、服薬状況を聞き、処方された薬の内容、飲み方、副作用の説明などを行っています。
入院では、患者さんごとに担当の薬剤師をおき、持参薬から当院採用薬への変更説明はもちろん、薬の効果や副作用の有無等の確認をしています。入院から退院まで、担当薬剤師がサポートしています。
また、チーム医療の一員として患者さんから得られた情報を主治医と共有しています。
- 2.内服薬調剤
- 医師からの処方内容を、検査値を元に服用量を検討したり飲み合わせを確認し、安全に服薬できるようにします。また、年齢や内服している錠数等、患者さんの状況や状態に合わせて、お薬の一包化(1回分ごとに袋に入れること)を行ない、服薬のサポートをしています。
- 3.注射剤調剤
- 医師からの注射処方箋を、配合変化や点滴速度等についてチェックします。患者さんごとに取り揃え、注意が必要な注射剤には、注意を促すプレートを添えています。
- 4.薬物血中濃度解析(TDM)
- 薬物血中濃度解析とは、血液中の薬剤の濃度を予測し適正な量を投与することで、副作用を減らし薬の効果が出るようにすることです。TDMを行うことで、患者さんに安全に薬剤を投与できるようになります。
- 5.DI-Drug Information(医薬品情報)-業務
- 医薬品の情報を収集し、医療スタッフや患者さんからの問合せに対し情報提供を行っています。また、院内向けのDIニュースを毎月発行しています。
- 6.チーム医療への参加
- チーム医療の一員として、NST(栄養サポートチーム)、ICT(感染対策チーム)、医療安全委員会等に参加しています。多職種で連携し、医療の向上に日々邁進しています。
放射線科
基本方針
- 医療チームの一員として、日々研修、研鑽に励み、技術と知識の習得に努め、患者様に信頼されるように質の高い医療サービスを提供します。
- 患者様の立場を第一に考え、検査の内容などに丁寧に対応し、安心して検査を受けられるように努めます。
- 診療放射線技師として、放射線の有効利用と被曝の低減に努め、「安全」な医療を実践します。
放射線業務
術後の経過観察やリハビリの効果確認のため、放射線や超音波を使って画像検査を行い診断に必要な画像を提供します。
- 一般撮影検査
- エックス線を診察したい部位にあて、身体を透過した情報から疾患や骨折の有無を調べることができる検査で、画像診断のおおもととなる検査です。当院ではフラットパネルディテクター(FPD)装置を導入していますので、低被ばく線量でありながら高精細な画像を提供しています。
-
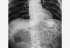
胸部X線画像
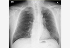
胸部 AI 解析画像
- 骨密度測定検査
- 骨を構成しているカルシウムなどの量を測り、骨の強度を調べる検査です。当院では精度の高いDEXA法(Dual Energy X-ray Absorptiometry)を用いて検査を行っています。これは「骨粗鬆症の予防と治療ガイドライン」において日本骨粗鬆学会が提唱する腰椎と股関節頸部の骨密度測定検査です。検査時間は10分程度で、痛みもありません。
-
股関節解析結果
腰椎解析結果
- CT 検査
- X線を人体に照射し、透過したX線の強弱をコンピューターで計算し、断層画像を作成します。さらに、この断層画像をコンピューターで処理することにより、色々な方向からの画像や3次元画像を得ることができます。CT検査は、骨や臓器を短時間で画像化することができ、検査時の痛みもない為、現在では多くの医療現場で診断に使用されている検査です。当院のCT装置ではDual Energy撮影(DE撮影)が可能となっているので、急性期骨折等の診断に有用な情報を提供することができます。
(*撮影時の体勢により不可の場合あり) -
- 透視検査
- 少ないX線を連続的に照射し、それを画像化することで動画として観察(透視)しながら撮影を行う検査です。食道・胃・小腸・大腸といった消化管疾患対する診断や治療、あるいは骨折・脱臼の整復といった整形外科領域、嚥下造影検査等に用いられます。
-
嚥下造影画像
経鼻胃管造影画像
また、超音波を用いたエコー検査では、腹部と下肢静脈の検査を行っています。
これらの検査・装置を基本方針に則り、患者さまに安全で質の高い画像を提供できるよう日々努めてまいります。
検査による放射線による被ばくについて身体への影響や不安の相談にもお応えしますのでお気軽にお声掛けください。
栄養部
基本理念
適切な衛生管理のもと調理を行い、安全な食事を提供いたします。また当院の基本理念である「個人の尊重」の具体化として、個人に対応した食事を心掛け、患者様の病態に沿った食事や喜んで頂ける食事提供に繋げていきます。
基本方針・特色
- 衛生管理を適切に行い、安全な食事を提供します
- 患者様の病態別に治療食を提供し、疾病の治療、回復に寄与します
- 個々の患者様に応じたきめ細やかな対応を目指し、喜ばれる食事サービスを提供します
- 多職種協働にて個々の患者様に応じた栄養管理の充実に努めます
- 個人の疾患や食環境に応じた栄養指導を行い、退院後も継続できるような食事療法の支援に努めます
職員体制
管理栄養士4名、栄養士4名、調理師5名、その他調理補助等17名
食事サービス
- 食事時間
- 朝食8:00 昼食12:30 夕食18:00
- 配膳方法
- 温冷配膳車を使用し、各病棟毎に順次お届けいたします
- イベントメニュー
- 月に1-2回季節の行事食や郷土料理を提供し、食の楽しみを味わって頂けるようメッセージカードやお品書きを添えています。 ぜひこちらからご覧ください。
節分(通常食)
節分(軟菜食)
節分(ミキサー食)
お盆(通常食)
お盆(軟菜食)
お盆(ゼリー食)
栄養管理
- 治療食の提供
- 医師の指示により糖尿病食、腎臓病食等の特別治療食を提供させていただく場合があります。
- 献立掲示
- 食事摂取基準を考慮し献立作成を行っています。1週間分の常食、嚥下食メニューを掲示・配布しております。
- 栄養サポート
- 医師の指示の元、管理栄養士、看護師、その他医療従事者等で入院中の栄養サポートを行います。入院時に栄養スクリーニングを行い、栄養状態不良の方には多職種で構成された栄養サポートチームで迅速に栄養介入を行い、治療や回復、リハビリ、退院、社会復帰がスムーズに進むよう、チームで栄養状態の改善・早期治癒を目指しています。
- 栄養指導
-
糖尿病、脂質異常症、高血圧症、腎臓病、低栄養などの食事指導を行います。嚥下障害では実際に調理指導も行っております。栄養指導を希望される場合は、主治医または看護師・栄養士にご相談ください。
取り組み
- 栄養サポートチーム(NST)
-
NSTは、医師、看護師、薬剤師、管理栄養士、臨床検査技師、理学療法士、言語聴覚士等で構成されたチームで、当院では2016年2月から体制を整え、稼働しています。
NSTでは、十分な食事が摂れない患者さまに適切な栄養補給方法の提案や病気の回復・合併症の予防に有用な栄養管理の提案などをおこなっています。
それぞれの患者さまに応じた栄養管理を行い、栄養状態の改善、治療効果の向上、合併症予防、QOL(生活の質)の向上などを目的として活動しています。


